Nueva técnica para un mayor control de las crisis epilépticas
Conoce este tratamiento para la epilepsia refractaria, que ayuda a localizar y eliminar el foco epiléptico
La epilepsia se caracteriza por originar unas crisis repentinas e incapacitantes que pueden llegar a poner en riesgo la salud de la persona que las desarrolla.
En España, se calcula que hay 350.000 casos de epilepsia y, de ellos, el 25% sufre un tipo que no mejora con los fármacos, conocida como refractaria. Para estos casos, los tratamientos de termocoagulación o la cirugía ofrecen una alternativa para mejorar el control de las crisis; pero, para conseguir buenos resultados, es necesario localizar antes el foco epiléptico en el cerebro, ya que es la zona causante de estos ataques.
El doctor Antonio Gil-Nagel Rein, director de la Unidad de Epilepsia del Hospital Ruber Internacional
, nos explica que "esta localización del foco epiléptico es sencilla cuando éste es visible en una resonancia magnética cerebral, pero se complica cuando es normal, aproximadamente el 75% de los pacientes".
Recientemente, la incorporación de una nueva técnica mínimamente invasiva permite localizar el foco epiléptico en 9 de cada 10 pacientes con enfermedad refractaria utilizando electrodos. Y, si además se combina con la termocoagulación, puede ayudar a eliminar esta zona enferma del cerebro sin recurrir a la cirugía. "En los últimos años se han desarrollado dos técnicas, la estéreo-electroencefalografía o E-EEG y la termocoagulación, que, utilizadas de forma conjunta, permiten localizar y tratar el foco epiléptico cuando la resonancia magnética o RM es normal", especifica el doctor Gil-Nagel.
Te contamos todo sobre las ventajas de combinar ambos tratamientos en las personas con epilepsia y los resultados obtenidos en el primer estudio en España.
Nueva técnica para la epilepsia refractaria, a estudio
Este tratamiento usa de manera conjunta los electrodos profundos del sistema E-EEG y la técnica de termocoagulación para valorar la cirugía en personas con epilepsia refractaria, que, en algunos casos, no llega a ser necesaria.
Según el primer estudio realizado en España por el Hospital Ruber Internacional, y publicado en la revista de la Sociedad Española de Neurología, esta nueva técnica para tratar la epilepsia permite identificar el foco epiléptico en muchos pacientes en los que antes era imposible, y además sus resultados avalan su uso.

Esta investigación, en la que participaron 71 niños y adultos, recogió que en el 90% de los casos se localizó el foco epiléptico y se trató mediante termocoagulación o cirugía. Por otro lado, en el 77% de los casos la operación obtuvo un resultado positivo.
Igualmente, el doctor Gil-Nagel añade otros datos relevantes del estudio: "La mayoría de los pacientes intervenidos quedaron libres de crisis o con crisis infrecuentes que no interferían con su actividad habitual. En todos ellos se observó una marcada mejoría en su calidad de vida, fue posible reducir la medicación antiepiléptica y en algunos casos suspenderla. La termocoagulación eliminó el foco de epilepsia y evitó la cirugía en cerca del 5% de los casos".
Por lo tanto, después de identificar el foco epiléptico, se puede tratar mediante termocoagulación, usando para ello los mismos electrodos ya colocados. De esta manera, se logra un procedimiento menos invasivo, y, en caso necesario, sirve para valorar una posible cirugía.
Primero: Ubicar el foco epiléptico con el sistema E-EEG
Antes de la cirugía o la termocoagulación, es importante encontrar el foco causante de las crisis epilépticas, y esto es posible con la nueva técnica de estéreo-electroencefalografía o E-EEG.
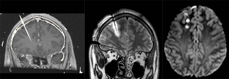
El sistema E-EEG consiste en colocar unos electrodos en zonas de la corteza cerebral para monitorizar la actividad eléctrica del cerebro. Después, con estos registros se elabora un mapa en tres dimensiones del foco epiléptico. Esto permite identificar la zona afectada para después tratarla mediante termocoagulación o tratamiento quirúrgico.
Tradicionalmente, la localización del foco epiléptico se realizaba mediante la craneotomía, que es un procedimiento más agresivo. Al respecto, el experto nos indica que "la localización del foco epiléptico se realizaba con electrodos subdurales cuya colocación es más agresiva, precisando hacer una apertura del cráneo de varios centímetros (craneotomía), que supone un mayor riesgo de complicaciones, infecciones o hemorragias, y solo se pueden mantener unos días por lo que a veces es tiempo insuficiente para detectar crisis epilépticas".
Segundo: Aplicar termocoagulación o cirugía
Una vez localizada la zona a tratar, la técnica de termocoagulación con radiofrecuencia ayuda a eliminar tanto el foco epiléptico como las vías de propagación, y, en ocasiones, no se requiere una cirugía posterior.
La termocoagulación se realiza de forma guiada con el sistema E-EEG, lo que permite utilizar los mismos electrodos ya insertados para administrar una corriente eléctrica regulada con el fin de eliminar el foco epiléptico. El experto señala que "esta técnica mejora el control de las crisis e incluso, en algunos pacientes, alcanza el control completo de éstas y no es necesario proceder a una cirugía". Si no se logra un control suficiente de los ataques, la información obtenida resulta muy útil para preparar una operación posterior más eficaz.

Por último, el experto añade que "también es posible realizar varios estudios de estéreo-EEG y tratamientos de termocoagulación en un mismo paciente a lo largo de varios meses y de esta forma sumar en cada procedimiento una reducción en el tamaño del foco epiléptico hasta que el control de las crisis es suficiente, evitando la cirugía".
© 2025 Quirónsalud - Todos los derechos reservados



















